Ameyah & Tyler Sexton’s Baby Registry
Ameyah & Tyler Sexton
Corryton, TN
April 2026
Hey sweet friends & family!
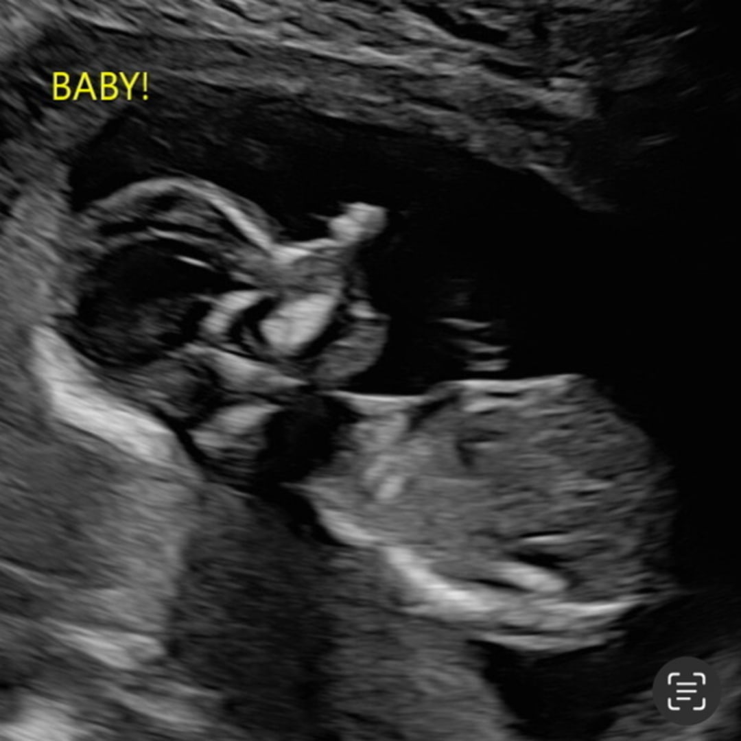
We are so excited to be welcoming our first precious baby boy soon, and we can’t wait to celebrate this special season with you at our shower! 🤍
To help avoid duplicate gifts and make sure we have everything baby boy will need, please feel free to check out, refer to, and mark purchased on our registry as you purchase!
Thank you in advance for your love, support, and generosity — we appreciate each of you so much!Diapering

Wants: Unlimited
Pampers Swaddlers Sensitive Disposable Diapers - (Select Size and Count)
$47.99

Wants: Unlimited
Pampers Sensitive Baby Wipes (Select Count)
$44.97
I purchased this
Feeding

The First Years 7oz Squeeze and Sip Straw Cup - Green - 2pk
$8.39
I purchased this

Dr. Brown's Milestones 9 fl oz Baby's First Straw Cup
$3.75
I purchased this

Boon Frosh Portable Breast Milk Chiller - Stainless Steel Breast Milk Cooler - Stainless Steel Portable Milk Storage Container - Blue - Keeps Breast Milk Cold for up to 17 Hours*
$34.99
I purchased this

Wants: 2
DRKIO 6 Pack Glass Baby Food Storage Containers - 4 Oz Baby Food Jars with Lids Baby Food Maker Microwave Dishwasher Freezer Safe 100% Leak Proof BPA Free Reusable
$9.98
I purchased this

Baby Brezza Universal Detergent Soap Tablets for Baby Brezza Bottle Washer Pro and All Brands of Bottle Washers, 120 Tablets
$19.99
I purchased this

Baby Brezza Bottle Washer Pro - Baby Bottle Washer, Sterilizer + Dryer - All in One Machine Cleans Baby Essentials like Bottles + Pump Parts – Appliance to Replace Bottle Brushes and Drying Racks
$299.99
I purchased this

Boppy Nursing Pillow - Gray Beige Leaves
$49.99
I purchased this

Muslin Burp Cloths Large 100% Cotton Hand Washcloths for Boys & Girls, Baby Essentials Extra Absorbent and Soft Burping Rags for Newborn Registry (White & Green, 12-Pack, 20" X10")
$21.99
I purchased this

Itzy Ritzy Set of 3 Baby Bibs - Ultra-Soft Adjustable Infant & Toddler Bibs Made of Triple-Layer Cotton Muslin, Ideal for Drooling, Teething, & Eating - 3 Stylish, Coordinating Prints (Cow Print)
$16.49
I purchased this

GROWNSY Baby Food Maker with Steam Basket, One Step Baby Food Processor Steamer Puree Blender Grinder Mills Machine, Auto Cooking Grinding and Sterili-zing for Healthy Homemade Baby Food, BPA-Free
$79.99
I purchased this

Mallify 3-in-1 Convertible Wooden High Chair, High Chairs for Babies and Toddlers, Baby High Chair with Adjustable Legs & Dishwasher Safe Tray, Made of Sleek Hardwood & Premium Leatherette, Beige
$89.99
I purchased this

Phillips Avent Natural Baby Bottle with Natural Response Nipple Newborn Gift Set - 17pc
$39.99
I purchased this

Wants: 4
Philips Avent 3pk Glass Natural Baby Bottle with Natural Response Nipple - Clear - 8oz
$29.95
I purchased this

Silicone Baby Feeding Set | Baby Led Weaning Supplies Includes Suction Bowls and Divided Plates, Adjustable Bib, Baby Utensils Spoons and Forks,Cup | Baby Feeding Essentials (Beige)
$25.99
I purchased this

Momcozy Portable Milk Warmer for Travel – Dual Heating Modes for Breast Milk & Water, Portable Bottle Warmer with Fast Heating & Long Battery Life, 17 Ounces Large Capacity to Meet Your All-Day Needs
$79.99
I purchased this

Munchkin® Sponge™ Bottle Brush, Grey, 2 Count (Pack of 1)
$7.22
I purchased this

Dr. Brown's Baby Formula Mixing Pitcher With Locking Lid & No Drip Spout - 32oz - Black
$9.99
I purchased this
General

Fisher-Price Portable Baby Chair Sit-Me-Up Floor Seat with Developmental Toys & Machine Washable Seat Pad, Rainbow Showers
$42.99
I purchased this

Foldable Baby 5-in-1 Activity Walker - Rocker, Activity Center, Bouncer, Seat Walker, Push Walker - Adjustable Speed Rear Wheels and Height Toys Ages 6-18 Months… (Mint Green)
$79.99
I purchased this


Parker Baby Diaper Caddy - Nursery Storage Bin and Car Organizer for Diapers and Baby Wipes - White, Regular
+1
$22.95
I purchased this

Baby Swings for Infants, Monamii Baby Swing, Bluetooth Infant Swing with Music Speaker, 5 Speeds and Remote Control, Indoor & Outdoor Use (Black)
$149.99
I purchased this

Baby Playpen 50x50 Inch, Play Pens for Babies and Toddlers Baby Fence Play Yards for Indoor & Outdoor with Breathable Mesh Anti-Fall Playpen
$39.99
I purchased this

1.3" Thick Baby Play Mat for Floor Playpen, 50x50 Foam Tummy Time Mat, Padded Support Soft Plush Nursery Rug for Infant Kids Toddler Crawling Kick Activity (Dark Grey)
$37.99
I purchased this

Baby Lounger - Baby Lounger for Newborn, 0-24 Months, Infant Lounger for Home and Travel, Soft Cotton, Baby Nest Lounger, Newborn Babies Essentials Gifts, GrayishBlue(Lounger Cover Included)
$49.99
I purchased this
Health & Safety

Mommy's Bliss Baby Organic Vitamin D Drops - 0.11oz (100 Servings)
$10.61
I purchased this

Safety 1st Rapid Read 3-in-1 Thermometer
$12.99
I purchased this

Frida Baby 3-in-1 Ear and Forehead Infrared Thermometer
$39.97 Was $39.99
I purchased this

RaZbaby Soft Silicone Infant & Baby 3M+ Teether Toy Massaging Bristles Teething Relief Pacifier - Soothes Sore Gums - Hands-Free & Easy-to-Hold Chompy Teether, BPA Free (RED/Blue)
$9.99
I purchased this

Frida Baby Natural Vapor Bath Bombs for Sick Day Comfort - BreatheFrida Vapor Bath Bombs - 3ct
$7.97
I purchased this

Mylicon Infant Gas Relief Colic Dye Free Drops - 1 fl oz
$9.86
I purchased this

Mommy's Bliss Organic Little Gums Soothing Massage Gel Day & Night Combo - 2ct/1.06oz
$11.97
I purchased this

Boiron Camilia Teething Drops for Daytime and Nighttime Relief of Painful or Swollen Gums and Irritability in Babies - 30ct
$10.77
I purchased this

Wants: Unlimited
Miss Mouth's Messy Eater Stain Treater Spray - 4oz Stain Remover - Newborn & Baby Essentials - No Dry Cleaning Food, Grease, Coffee Off Laundry, Underwear, Fabric
$7.97
I purchased this

Philips Avent Soothie 0-3 Months Orthodontic Baby Pacifiers, 100% Silicone Pacifiers, One Piece, BPA-Free, Green, 4 Pack, Model SCF190/41
$11.89
I purchased this


Wants: Unlimited
Little Remedies Saline Spray and Drops, Safe for Newborn Babies - 1 fl oz
$3.82
I purchased this

Safety 1st Large Nasal Aspirator
$2.88
I purchased this

Dr. Brown's Soft and Safe Baby Brush + Comb
$6.99
I purchased this

b&h Baby Thermometer, The Infant Baby Bath Floating Toy Safety Temperature Water Thermometer (Classic Duck)
$11.39
I purchased this

Wants: 2
Safety 1st Electrical Outlet Baby Proof Covers, Secure Outlet Plugs, Baby Proofing, 36 Count
$5.49
I purchased this

Wants: 2
20 Pack Magnetic Cabinet Locks Baby Proofing - Vmaisi Children Proof Cupboard Drawers Latches - Adhesive Easy Installation
$39.99
I purchased this

Frida Baby Electric NoseFrida Nasal Aspirator for Baby, Nose Sucker for Baby & Toddler, Upgraded Nasal Aspirator for Congestion + Allergy Relief with 3 Suction Levels, 2 Silicone Tips, USB
$39.99
I purchased this

LEVOIT Air Purifiers for Bedroom Home Dorm, 3-in-1 Filter Cleaner with Fragrance Sponge for Better Sleep, Filters Smoke, Allergies, Pet Dander, Odor, Dust, Office, Desktop, Core Mini-P, White
$42.99
I purchased this


HelloBaby No WiFi Baby Monitor 5" Screen 30-Hour Battery Pan-Tilt-Zoom Video Upgrade with Camera and Audio, Night Vision, VOX, 2-Way Talk, 8 Lullabies and 1000ft Range, HB6550
$66.49
I purchased this

Owlet Dream Sock - FDA-Cleared Smart Baby Monitor with Live Health Readings and Notifications
$299.00
I purchased this

Wants: Unlimited
Desitin Maximum Strength Baby Diaper Rash Cream, 40% Zinc Oxide for Treatment, Relief & Prevention, Hypoallergenic, Phthalate- & Paraben-Free Paste, Protects Skin for 12 Hours, 4.8 oz
$7.97
I purchased this

Wants: Unlimited
Aquaphor Baby Healing Ointment Advanced Therapy Skin Protectant, Dry Skin and Diaper Rash Ointment, 7 Oz Tube
$12.91
I purchased this

Wants: Unlimited
Tylenol Infant Dye-Free General Pain Reliever - Cherry - 1 fl oz
$6.77
I purchased this

Frida Baby Nebulizer for Babies, Portable Nebulizer for Kids, Babies & Infants, Ultra-Quiet Handheld Nebulizer with Mask + Diffuser, Congestion + Flu Relief
$34.99
I purchased this

Frida Baby Medicine Pacifier, Medi Frida Baby Medicine Syringe & Accu-Dose Pacifier, Baby Medicine Dispenser for Mess & Fuss Free Use
$12.99
I purchased this

Wants: Unlimited
A + D Baby Diaper Rash Ointment, Baby Protectant With Vitamins A And D - 4oz
$5.47
I purchased this

Wants: Unlimited
Mommy's Bliss Gripe Water For Babies With Gas, Colic Or Stomach Discomfort - 4 Fl Oz
$9.87
I purchased this
Transportation

Dreamegg White Noise Machine - Portable Sound Machine for Baby Adult, Features Powerful Battery, 21 Soothing Sound, Noise Canceling for Office & Sleeping, Sound Therapy for Home, Travel, Registry Gift
$17.99
I purchased this


Alpine Muffy Baby Ear Protection for Babies and Toddlers up to 36 Months - CE & ANSI Certified - Noise Reduction Earmuffs - Comfortable Baby Headphones Against Hearing Damage & Improves Sleep - Black
$29.99
I purchased this

DoHonest Baby Car Camera HD 1080P - Rear-Facing Car Baby Monitor with Night Vision, Adjustable View Angle, Easy Setup, Anti-Glare Display, Safety for Kids & Infants
$29.98
I purchased this

Baby Carrier Newborn to Toddler (Houndstooth)
$85.49
I purchased this

KeaBabies Baby Wrap Carrier - All in 1 Original Baby Carrier Newborn to Toddler Sling, Easy to Wear, Hands Free Bonding, Lightweight, Breathable Infant Wraps (Trendy Black)
$29.96
I purchased this

GoldBug Shopping Cart and High Chair Cover for Baby - Universal Fit Cart Cover - Gray Ticking Stripe
$22.99
I purchased this


mushie Water Resistant Wet Bags | Large & Small Reusable Storage Bag for Baby Items and Travel | Zippered Pockets with Handle | Machine Washable, Set of 2 (Olive Check)
$16.99
I purchased this

Bright Starts Portable Booster Seat for Floor, Feeding, and Toddler Use Grey
$29.97
I purchased this

Car Seat Protector, 2 Pack Carseat Protector with Thick Padding, Baby/Pets for Child Car Seat-Mesh Pockets-Waterproof-Universal Size(Black)
$25.25
I purchased this
Toys & Other

Bright Starts Oball Shaker Toy
$3.97
I purchased this

Itzy Ritzy Ring Rattle & Teether
$7.49
I purchased this


Oball Rattle
$6.49
I purchased this


Itzy Ritzy Pacifier & Lovey Set - Natural Rubber Pacifier with Stuffed Animal Lovey - Detachable Plush Cow Binky Holder & Coordinating Natural Rubber Binky, Ideal for Ages 0-6 Months (Cow)
$13.78
I purchased this

Fisher-Price Mini Me Moments Reel Fun Fishing Gift Set, 4 Baby Toys for Newborn Sensory Play
$9.96
I purchased this


When God Made You
$6.53
I purchased this

Itzy Ritzy Farm Toy Gift Set - Includes Cow Lovey & Farm-Themed Busy Ring Car Seat and Stroller Toy - Features Crinkle Sounds, Engaging Textures & Silicone Teething Relief (Farm)
$21.99
I purchased this

mushie Silicone Western Teething Ring Toy
$14.99
I purchased this
Bathroom

Looxii Muslin Baby Washcloths 6 Pack, 100% Cotton Baby Wash Cloths for Baby Face Body, 12x12 inches Large Soft Absorbent Face Towels for Newborns Gradient Green
$9.99
I purchased this

Tub Works® Barnyard™ Mold Free Bath Toys, 6 Pack | Sealed, No Hole Bath Toys Design Keeps Moisture Out | Soft, Squeezable & Float on Water | Farm Animals Baby & Toddler Bathtub Toys | Baby Pool Toys
$13.99
I purchased this


Munchkin Soft Spot Cushioned Bath Mat - Gray
$17.99
I purchased this

Comfortable Baby Bath Kneeler and Elbow Rest Pad Set – Thick Memory Foam Bath Kneeling Pad with Elbow Support – Baby Bathtub Cushion with Toy Organizer for Bathing Infant or Toddler - Grey
$39.99
I purchased this

Skip Hop Baby Bath Spout Cover Universal Fit MOBY Grey
$13.99
I purchased this

Little2Big Toilet Seat with Built-In Toddler Potty Training Seat, Slow Close, Easy to Install, Made in USA, ELONGATED, White
$21.99
I purchased this

Munchkin Shampoo Rinser
$5.79
I purchased this

Aveeno Baby Daily Care Gift Set Includes Daily Moisturizing Body Lotion & 2-in-1 Baby Bath Wash & Shampoo - 2 ct
$17.39
I purchased this


Angelcare Baby Bath Support - Gray
$19.99
I purchased this
Nursery

Konssy Knit Baby Blanket 2 Pack, Soft Ribbed Swaddle Receiving Blankets for Boys & Girls, Lightweight Cozy Swaddling Wrap for Newborns, Infants, & Toddlers, 33x42 Inch (Beige, Sage)
$18.99
I purchased this

HALO 100% Cotton Sleepsack Swaddle, 3-Way Adjustable Wearable Blanket, TOG 1.5, Heather Grey, Small, 3-6 Months
$34.95
I purchased this

40 Pack Black Curtain Rings with Clips, Curtain Hooks Hangers Clip Rings for Hanging Drapes Bows Hat, Drapery Rings 1.26 in I D, Fits up to 1 in Diameter Curtain Rod.
$12.99
I purchased this

Mebie Baby Western Aztec Muslin Swaddle, Modern and Neutral Swaddle Blanket for Baby Girl or Boy, Soft Baby Blankets, Newborn Swaddle Blanket, 0-3 Month, Comfy Wrap, Baby Essentials & Gifts
$24.00
I purchased this

Graco Hadley 5-in-1 Convertible Crib with Drawer (Black) – Combo, Includes Full-Size Nursery Storage, Converts from Baby Crib to Toddler Bed, Daybed
$249.99
I purchased this

Soho Baby Coventry Manual Upholstered Glider Recliner Rocking Chair 360° Swivel for Nursery and Living Room – Boucle Teddy Brown
$239.00
I purchased this


Regalo Wall Safe Extra Wide Walk Through Safety Baby Gate 29"-41.5" - White
$49.99
I purchased this

Wants: 6
Better Homes & Gardens Collapsible Fabric Cube Storage Bin, Vanilla
$9.97
I purchased this

Better Homes & Gardens 6 Cube Storage Organizer, Solid Black
$64.44
I purchased this

Graco Premium Crib & Toddler Mattress – GREENGUARD Gold Certified, Machine-Washable OEKO-TEX STANDARD 100 Certified Cover with Waterproof Surface, Fits Any Standard Full Size Baby Crib & Toddler Bed
$99.99
I purchased this

Yecaye 1 Pack Over the Door Organizer, 35.2lbs Load Toy Stuffed Animal Storage, Swing-proof Hanging Bathroom Organizers and Storage for Nursery Newborn Baby Essential Stuff Dorm Room Essentials
$15.99
I purchased this

Wipe-Clean Changing Pad, Waterproof & Wipeable, Soft & Non-Slip Diaper Adjustable Safety Belt, Changing Pad for Dresser, Changing Table
$51.78
I purchased this

LollyBanks Muslin Baby Blanket 100% Organic Cotton, Muslin Quilt Lightweight, Toddler Blanket for Boys and Girls, 6 Layers Baby Blankets 47"x 47", Soft Nursery Receiving Blankets (Duck Print)
$29.99
I purchased this

Baby Mallard Duck Soft Stuffed Animal Security Blanket, Plush Green Duck Character Lovey Blanket, Baby Shower/Nursery Gift, Newborn Infant Toddler Snuggle Blankie for Boys Girls, 14 Inches
$18.97
I purchased this

Hatch Rest Baby Sound Machine, Night Light | 2nd Gen | Registry Essential, Sleep Trainer, Routine Builder, Time-to-Rise Alarm Clock, White Noise Soother, Nursery Stories, Toddler Kids Bedroom (Wi-Fi)
$69.99
I purchased this

4 Pack Mallard Duck Baby Crib Fitted Sheet 52'' x 28'' Duck Hunting Stretchy Neutral Fitted Crib Mattress Sheet Mallard Baby Bedding for Standard Mattress Gift Set
$35.99
I purchased this

Mallard Ducks Nursery Decor Baby Stuff, Boy Hunting Decor, Duck Flag Sign, Canvas Banner Wall Decor for Baby Shower, Birthday Party
$13.95
I purchased this

Hymmah Duck Home Decor Statue Rustic Home Decorations for Living Room, Boho Sculpture Resin Animal Collectible Figurines for Indoor Decor
$21.99
I purchased this
Clothes Inspo

Carter's Just One You® Baby Boys' 2pc Bears Comfy Soft Top & Bottom Set - Brown
$10.00
I purchased this

Gerber Baby 3pk Jogger Pants
$14.00
I purchased this

Modern Moments by Gerber Baby Microplush Shacket and Pant Set
$9.00
I purchased this

Baby Boys Girls Toddlers Winter Coats Puffer Jacket Hooded Down Snow Jacket Coat Outerwear
$25.90
I purchased this

Columbia Unisex-Baby Benton Springs Fleece Jacket
$28.00
I purchased this

Carhartt Baby Boys' Washed Canvas Flannel Lined Bib Overall
$39.99
I purchased this

Carhartt baby-boys Long-sleeve Hooded Zip-up Footless Jumpsuit One-piece Hoodie
$29.99
I purchased this

Hey Dude Unisex-Child Lil Dudes (Infant/Toddler)
$34.99
I purchased this

Pudcoco Baby Boys Romper Mallard Duck Hunting Baby Summer Clothes Short Sleeve T-shirt Bodysuit
$11.99
I purchased this

Modern Moments by Gerber baby-boys Baby Hacci Footless Pajamas
$11.19
I purchased this

Baby Zip Up - Black Camo – BURLEBO
$32.00
I purchased this

HsdsBebe Baby Boys Girls Western Cowboy Boots Infant Moccasins High Top Booties Toddler Soft Sole Non-Slip First Walker Crib Shoes
$16.99
I purchased this

Little Sleepies Pajamas for Baby Boys & Girls, Viscose from Bamboo Baby Pajamas, Preemie & Newborn Sleepers, 2-Way Zipper PJs
$38.00
I purchased this

Baby Boy Clothes Summer Baby Boy Bubble Romper Short Sleeve Jumpsuit One Piece Outfit Newborn Infant Clothing
$5.99
I purchased this
Mom

Womens Maternity Nursing Tank Cami for Breastfeeding with Adjustable Straps
$32.99
I purchased this

GXXGE 4Pack Nursing Bra for Breastfeeding Maternity Bras Push Up Silk Seamless Pregnancy Bralette Underwear
$29.99
I purchased this

10FT iPhone 17 16 15 Charger Fast Charging USB C Charger Block Type C Chagrer Fast Charging 2-Pack for iPhone 17/17 Plus/17 Pro/17 Pro Max/iPhone 16/16 Plus/16 Pro/16 Pro Max/15/15 Pro Max/Samsung
$9.99
I purchased this

Pure Enrichment PureRelief Deluxe Heating Pad - 12" x 24"
$32.99
I purchased this

Always Discreet Boutique Adult Postpartum Incontinence Underwear for Women - Black - Small/Medium
$21.47
I purchased this

Liquid I.V. Hydration Multiplier Vegan Powder Electrolyte Supplements - Strawberry - 0.56oz each/10ct
$14.99
I purchased this

Tucks Medicated Hemorrhoidal Pads - 100ct
$7.68
I purchased this

Joyaria Womens Cooling Bambo Viscose Pajamas Short Sleeve Button Down Pj Shorts Set Ultra Soft Summer Sleepwear-Small-XXL
$35.09
I purchased this

Turkish Linen Waffle Knit Lightweight Kimono Spa & Bath Robes for Women - Quick Dry - Soft
$29.99
I purchased this

Women's Sylvia Genuine Suede Scuff Slippers - Auden™
$12.00
I purchased this




Breast Milk Storage Bags - up&up™
$12.69
I purchased this

Earth Mama Organic Nipple Butter™ | Nipple Cream Safe for Breastfeeding | Postpartum Essentials for Nursing | Non Lanolin Nipple Cream, 2-Fluid Ounce
$13.97 Was $14.99
Sale
I purchased this

pics of our boy 🫶🏻


