Baby Sholl 2026
Cheyanne & Thomas Sholl
Visalia, CA
May 19, 2026
We are so excited to be adding our baby girl and for Daniel to be a big brother!! Any gifts to help welcome our baby girl is very appreciative!!
Feeding

Dr. Brown's Reusable Sponge Baby Bottle Cleaning Brush with Suction Cup Stand, Scrubber and Nipple Cleaner, Pink 1-Pack
$12.99

Wants: 2
Dr. Brown's Travel Formula Dispenser with Lid, BPA Free - Pink - Holds 27oz
$4.99
I purchased this

Baby Formula Dispenser Replacement Funnel Compatible with Baby Brezza Formula Pro Advanced and Pro Advanced WiFi Models ONLY, Replacement Funnel & Cover, NOT Fit Formula Pro MINI Mixer Machine, 3-Set
$26.99
I purchased this

Baby Brezza New and Improved Formula Pro Advanced Formula Dispenser Machine - Automatically Mix a Warm Formula Bottle Instantly - Easily Make Bottle with Automatic Powder Blending, White
$229.99
I purchased this

The Peanutshell Baby Girl Terry Bib Set of 8-100% Cotton, Soft, Absorbent Baby Bibs, Toddler Girl Set, Newborn & Infant Bib - Pink
$16.99
I purchased this

Fxady Breastmilk Cooler Bag with Ice Pack, Insulated Baby Bottle Tote Bag for 6 Bottles Up to 9 oz, Clip-On Pouch for Baby Essentials, Leakproof, Waterproof, Shoulder Strap for Nursing Moms
$19.99
I purchased this

Lovely Care 24 Pack Muslin Burp Cloths 100% Cotton Muslin Cloths Large 20''x10'' Extra Soft and Absorbent Baby Burping Cloth - White
$24.99
I purchased this

Momcozy Portable Milk Warmer for Travel – Dual Heating Modes for Breast Milk & Water, Portable Bottle Warmer with Fast Heating & Long Battery Life, 17 Ounces Large Capacity to Meet Your All-Day Needs
$79.99
I purchased this

ERTIUANIO Baby Bottle Organizer – 3-Tier Bottle Storage Organizer Baby for Bottles, Nipples, Pump Parts, Food Jars – Clear Nursery Cabinet for Countertop and Kitchen
$36.99
I purchased this

Glad for Kids Unicorn Paper Disposable Bibs with Crumb Catcher for Feeding - Absorbent and Leakproof Eating and Travel Must Haves for Mess-Free Meals, 30 Count
$7.99
I purchased this

Dr. Brown’s Natural Flow® Level 2 Wide-Neck Baby Bottle Silicone Nipple, Medium Flow, 3m+, 100% Silicone Bottle Nipple, 6 Pack
$16.99
I purchased this

Eascrozn Silicone Bibs for Babies Toddler Set of 3, BPA Free, Soft Adjustable Waterproof Bibs for Feeding Essentials
$7.95
I purchased this

Wants: 2
Dr. Brown's 8oz Anti-Colic Options+ Narrow Baby Bottle with Level 1 Slow Flow Nipple - 3pk - 0m+ - Pink
$15.19
I purchased this

Wants: 2
Dr. Brown's 8oz Anti-Colic Options+ Narrow Baby Bottle with Level 1 Slow Flow Nipple - 3pk - 0m+ - Purple
$15.19
I purchased this

Dr. Brown's Level 2 Narrow Baby Bottle Silicone Nipple, Medium Flow - 6pk - 3m+
$10.99 Was $13.99
I purchased this

Lansinoh Lanolin Nipple Cream Safe for Breastfeeding Baby, 100% Natural Nipple Butter for Mom, Breastfeeding Essentials, 1.41 Ounces (2 Pack)
$19.98
I purchased this

Konssy Muslin Nursing Cover for Baby Breastfeeding, Breathable 100% Cotton Breastfeeding Cover with Rigid Hoop for Mother Nursing Apron, Multi-use Carseat Canopy (Pink)
$14.99
I purchased this

J.L. Childress Disney Baby TwoCOOL Breast Milk Cooler Travel Bag - Insulated Baby Bottle Storage Bag, Portable Organizer Pack, For Daycare or On the Go, Fits 2-4 Bottles - Mickey & Minnie Mouse
$18.23
I purchased this
Sleeping

Disney Princess Heritage Organic Crib Fitted Sheet
$78.00
I purchased this

Babysense 5" HD Split-Screen Baby Monitor, Video Baby Monitor with 2 Cameras and Audio, Night Light, 1000ft Range, Two-Way Audio, 4X Zoom, Night Vision, 4000mAh Battery
$179.99 Was $199.99
10% off
I purchased this

Woolino 4 Season Sleep Sack - Ultimate Sleeping Bag - Merino Wool and Organic Cotton Two-Way Zipper Adjustable Universal Size Sleep Sack for Baby (2-24 Months) - Rose
$109.00
I purchased this

Woolino Merino Wool & Organic Cotton Baby Sleep Sack 2-24 Months – Ultimate 4-Season Baby Sleeping Bag, Universal Size Wearable Blanket, 2-Way Zipper & Adjustable Fit, Year-Round Use – Lilac
$109.00
I purchased this

Disney Minnie Mouse Pink, Black, and White Super Soft Nursery Fitted Crib Sheet
$29.99
I purchased this

Little Sleepies Baby Crib Sheets, Buttery Soft Viscose from Bamboo Crib Sheets for Boys & Girls, Toddler Bed Sheet, Standard Crib Mattress Sheet, Super Stretchy & Elasticized (Sweet Pea)
I purchased this

Little Sleepies Baby Crib Sheets, Buttery Soft Viscose from Bamboo Crib Sheets for Boys & Girls, Toddler Bed Sheet, Standard Crib Mattress Sheet, Super Stretchy & Elasticized (Sienna's Unicorns)
$46.00
I purchased this

Lambs & Ivy Disney Baby Minnie Mouse Love White/Pink Heart Fitted Crib Sheet
$16.99
I purchased this

Hatch Go | Portable Sound Machine for Babies and Kids | Sleep Soother | 10 Soothing Sounds | White Noise | Shush | Travel | Registry Gift | Baby Shower | Clips on Stroller | Mint
$39.99
I purchased this

The Ollie Swaddle – Adjustable Baby Swaddle for Newborns | Pediatrician-Approved for Safe Sleep | Easy Closure | Arms-Out | Lightweight, Machine-Washable | Easy Diaper Access
$69.79
I purchased this

The Ollie Swaddle – Adjustable Baby Swaddle for Newborns | Pediatrician-Approved for Safe Sleep | Easy Closure | Arms-Out | Lightweight, Machine-Washable | Easy Diaper Access
$69.79
I purchased this

The Ollie Swaddle – Adjustable Baby Swaddle for Newborns | Pediatrician-Approved for Safe Sleep | Easy Closure | Arms-Out | Lightweight, Machine-Washable | Easy Diaper Access
$69.79
I purchased this

Disney Princess Enchanting Dreams White and Pink Cinderella A Dream is a Wish Your Heart Makes 100% Cotton Photo Op Nursery Fitted Crib Sheet
$29.99
I purchased this

Crib Mattress Protector Sheets Waterproof 2 Pack, Quilted Crib Mattress Pad Cover Fitted Fits for Toddler Bed Mattress, White, 52” x 28”
$16.99
I purchased this

Wants: 2
Lambs & Ivy Disney Baby Minnie Mouse Swaddle Blanket & Plush Infant Gift Set - 2pk
$24.99
I purchased this

Disney Princess Baby Blanket
$19.99
I purchased this

Lambs & Ivy Disney Baby Princesses Baby Blanket
$19.54
I purchased this
Diapering

Bonobo Duo (Pack of 2)
$29.95
I purchased this

Johnson's Naturally Derived Cornstarch Baby Powder, Aloe & Vitamin E for Delicate Skin - 22oz
$6.78
I purchased this

Aquaphor Baby Healing Ointment Advanced Therapy Skin Protectant for Chapped or Dry Skin, Drool Rash and Diaper Rash Ointment, 14 Oz Jar
$5.99
I purchased this

Disney Princess - Dare to Dream Super Soft Pink and White Changing Pad Cover
$19.99
I purchased this

Disney Princesses Changing Pad Cover
$19.59
I purchased this

Amazon Brand - Mama Bear Blossoms Scented Diaper Pail Refills for Diaper Genie Pails, 1080 Count (4 Packs of 270 Count)
$18.99
I purchased this

Diaper Genie Classic Diaper Pail Gift Set | Push-N-Lock Odor Control | Includes Starter Refill and Jumbo+ Refill | Holds up to 1,245 Newborn Diapers | Baby Registry Must-Have
$49.99
I purchased this

Aquaphor Baby Diaper Rash Cream, 3-in-1 Diaper Rash Relief, 3.5 Oz Tube, (Pack of 3)
$7.47
I purchased this

Desitin Maximum Strength Baby Diaper Rash Cream, 40% Zinc Oxide for Treatment, Relief & Prevention, Hypoallergenic, Phthalate- & Paraben-Free Paste, Protects Skin for 12 Hours, 4.8 oz (Pack of 2)
$15.94
I purchased this

Desitin Maximum Strength Baby Diaper Rash Cream, 40% Zinc Oxide for Treatment, Relief & Prevention, Hypoallergenic, Phthalate- & Paraben-Free Paste, Protects Skin For Up To 12 Hours, 16 oz
$15.92
I purchased this

Bumco Baby Bum Brush + Mini Baby Diaper Cream Spatula with Case - BPA-Free Silicone Diaper Spatula, Mom-Invented Butt Paste Applicator (Gray & Gray)
$14.99
I purchased this

Johnson's Baby Powder with Naturally Derived Cornstarch, Aloe & Vitamin E for Delicate Skin, Hypoallergenic, Free of Parabens, Phthalates & Dyes for Gentle Baby Skin Care, 15 oz
$4.98
I purchased this

Wants: 5
Huggies Size 2 Diapers, Little Snugglers Baby Diapers, Size 2 (12-18 lbs), 84 Count, Packaging May Vary
$28.22
I purchased this

Wants: 5
Huggies Size 1 Diapers, Little Snugglers Baby Diapers, Size 1 (8-14 lbs), 96 Count, Packaging May Vary
$28.22
I purchased this

Wants: 5
Huggies Size Newborn Diapers, Little Snugglers Baby Diapers, Size Newborn (up to 10 lbs), 144 Count, Packaging May Vary
$44.99
I purchased this

Wants: 3
Huggies Newborn Diapers, Little Snugglers Baby Diapers, Size Preemie (up to 6 lbs), 30 Count
$4.94
I purchased this

Changing Pad Cover for Girls 4 Pack, Baby Fitted Changing Table Cover Sheets, Soft Breathable for 32"x16" Diaper Change Table Pad, Bassinet Sheets Neutral - Pink and Violet
$15.89
I purchased this

Desitin Maximum Strength Baby Diaper Rash Cream with Zinc Oxide - 16oz
$19.48
I purchased this

Desitin Maximum Strength Baby Diaper Rash Cream with Zinc Oxide - 4oz
$6.98
I purchased this

Ubbi Set of 2 Baby Wipes Dispensers with Weighted Plates and Secure Seals, Nursery and Baby Registry Essential to Keep Wipes Fresh and Changing Table Organized, Gray
$27.89
I purchased this

Kirkland Signature Baby Wipes, 900-count | Costco
$23.99
I purchased this

Aquaphor Baby Healing Ointment - Advanced Therapy to Help Heal Diaper Rash and Chapped Skin - 3oz. Tube
$8.49
I purchased this
Baby Gear

Dr. Brown's Ridgees Giraffe, Massaging Baby Teether, Designed by a Pediatric Dentist, BPA Free, 3m+ (Pack of 2)
I purchased this

3 Pack Ring Teether Baby Infant Toys, Baby Essentials, Silicone Teething Ring Toys for Babies 0-6 Months, Seposeve Toddler Teethers 6-12 Months 12-24 Months, Infant Teething Relief, Purple Pink White
$5.96
I purchased this

Itzy Ritzy Easy Hold Teether - Strawberry
$7.49
I purchased this

Sophie La Girafe Teething Ring
$19.99
I purchased this


Bibs Colour Latex Pacifier - 0-6 Months - Size 1 - 2pk - Blush/Vanilla
I purchased this

Itzy Ritzy Natural Rubber Pacifier - 0-6 Months - Rosewood & Blossom - 2pk
$9.99
I purchased this

MAM Pacifier Variety Pack 0-6m - Girl - 3pk
$9.99
I purchased this

NUK 100% Silicone Comfy Orthodontic Pacifiers, 0-6 Months, Pink Fashion, Timeless Collection, 5 Count
$9.49
I purchased this

Philips Avent Soothie Orthodontic Baby Pacifiers, 100% Silicone Pacifiers, One Piece, BPA-Free, for Babies 0-3 Months, 2 Lilac and 2 Pink, 4 Pack, Model SCF190/70
$11.86
I purchased this

MAM Original Day & Night Pacifiers, Binky Pacifier for 0-6 Months, BPA-Free Silicone, Glows in The Dark, Best for Newborn Babies, Developed with Medical Experts, 4 Count Binkies
$14.38
I purchased this

Itzy Ritzy Pacifier & Lovey Set - Includes Silicone Pacifier with Stuffed Animal Lovey - Detachable Plush Unicorn Binky Holder & Coordinating Pink Silicone Binky Ideal for Ages 0 Months & Up
$7.49
I purchased this

Itzy Ritzy Pacifier & Lovey Set - Natural Rubber Pacifier with Stuffed Animal Lovey - Detachable Plush Bunny Binky Holder & Coordinating Natural Rubber Binky, Ideal for Ages 0-6 Months (Bunny)
$12.99
I purchased this

Wants: 2
Philips Avent Soothie Pacifiers 0-3m - Fresh Lilac/Pastel Pink - 2pk
$4.47
I purchased this

Itzy Ritzy Pacifier & Lovey Set - Natural Rubber Paci with Stuffed Animal Lovey - Detachable Plush Bear Pacifier Holder & Coordinating Natural Rubber Soother, Ideal for Ages 0-6 Months (Bear)
$13.99
I purchased this

4-Pack Silicone Pacifier Clips with a Woven Rope Shape for Baby Boys and Girls - Flexible and Rust-Free Holders for Teething Relief and Baby Essentials, Safe for Newborns (Pink)
$7.19
I purchased this

Itzy Ritzy Pacifier with Lovey Set - Silicone Paci with Detachable Stuffed Animal - Unicorn
$7.49
I purchased this

Wants: 2
MAM Day/Night Triple Pack, 6+ Months - Purple/Pink 3ct
$9.99
I purchased this

Wants: 2
MAM Matte Original Unprinted Pacifier 0-6m - Girl - 2pc
$6.59
I purchased this

auroray Hair Accessories for Girl, 1543 Pcs Elastic Hair Rubber Bands Set 20 Colors Elastic Hair Ties with Organizer Box Cotton Baby Hair Ties, Hair Tail Tools, Rat Tail Comb, Butterfly Hair Clips
$9.99
I purchased this

Boba Bliss Pre-Wrapped Baby Carrier with Buckle - Newborn to 7-35 lbs Light, Breathable & Easy to Adjust Hybrid Infant Sling & Toddler Carrier - Certified Hip-Healthy for 0-18 Months - Bloom
$49.00
I purchased this

IIWEY Baby Car Camera for 2 Kids – 7.2” Ultrawide Split-Screen Monitor with Dual 1080P HD Car Seat Cameras, Cute Replaceable Cat Covers, Night Vision, Type-C Power, Easy Install for Twins or Siblings
$59.99
I purchased this


Stroller Hooks for Hanging Diaper Bags - Mommy Stroller Clip and Stroller Accessories Organizer Hook - Large Carabiner Clips for Mom Purse Shopping Grocery Bag and Accessory - (2 Pack) (Carabiner)
$9.98
I purchased this

Wants: 2
Chicco OneFit LX ClearTex All-in-One Car Seat with LeverLock Installation, Slim Design, Convertible Car Seat, Seat for Infants and Children 5-100 lbs | Lupine/Purple
$329.99
I purchased this

Chicco KeyFit Max Infant Car Seat Base, Stay-in-Car Base for Second Vehicle, Compatible with Chicco KeyFit, KeyFit 30, KeyFit 35 and KeyFit Max Infant Car Seats | Anthracite/Grey
$144.99
I purchased this

Chicco KeyFit Max ClearTex Infant Car Seat and Base, Rear-Facing Seat for Infants 4-30 lbs., Infant Head and Body Support, Compatible with Chicco Strollers, Baby Travel Gear | Lupine/Purple
$249.99
I purchased this

Luxury Wagon Stroller for 2 Kids & Cargo-Lightweight Foldable Travel Push Pull All-Terrain Double Wagon for Newborn&Toddler with 5-Point Harness,Adjustable Handle, Canopy,Tray Table,Cup Holder
$249.99
I purchased this
Health & Safety

Miss Mouth's Messy Eater Stain Treater Spray - 16oz Stain Remover - Newborn & Baby Essentials - No Dry Cleaning Food, Grease, Coffee Off Laundry, Underwear, Fabric
$29.99
I purchased this

TUCKS Medicated Cooling Pads, 100 Count – Hemorrhoid Pads with Witch Hazel, Cleanses Sensitive Areas, Protects from Irritation, Hemorrhoid Treatment, Medicated Pads Used by Hospitals
$7.59
I purchased this

Infants' Tylenol Liquid Pain Reliever and Fever Reducer Medicine, Acetaminophen Oral Suspension for Sore Throat, Headache & Teething, Kids Fever Reducer; Dye-Free Cherry Flavor, 2 fl oz, Pack of 1
$9.97
I purchased this

Frida Baby NoseFrida SnotSucker for Baby, Nasal Aspirator for Baby, Nose Sucker Baby Nasal Aspirator & 4 Hygiene Filters to Help Baby Breathe Easy
$15.99
I purchased this

Mommy's Bliss 4-Piece Newborn and Baby Essentials Kit - With Gripe Water, Gas Relief Drops, Vitamin D 400IU, and Saline Drops/Spray - The Perfect Baby Gift.
$15.99
I purchased this

Baby Grooming Kit, Infant Safety Care Set with Hair Brush Comb Nail Clipper Nasal Aspirator,Baby Essentials Kit for Newborn Girls Boys (Pink Baby Grooming kit)
$9.99
I purchased this

oogiebear: Baby Nose Cleaner & Ear Wax Removal Tool - Safe Booger & Earwax Removal for Newborns, Infants, Toddlers - Dual-Ended - Essential Baby Stuff, Diaper Bag, Raspberry & Seafoam with case
$16.89
I purchased this
Bathing

Wants: 2
The Honest Company 2-in-1 Cleansing Shampoo and Body Wash Face Lotion Bundle, Gentle for Baby, Naturally Derived, Lavender Calm, 18.5 fl oz
$19.49
I purchased this

Looxii Baby Bath Towels 2 Pack Muslin Hooded Baby Towels for Newborn and Infants, 100% Cotton, Large 32x32Inch, Soft and Absorbent Pink+Flowers
$17.99
I purchased this

Ingenuity My Bath Seat for Sit-Up Baby Bathing, Sure & Secure Suction Cups, ASTM Safety Tested & Approved, Backrest for Assisted Sitting, Easy Setup & Storage, Pink
$39.99
I purchased this

Unnivoll Hooded Baby Towels for Newborn - 2 Pack, 100% Muslin Cotton, Baby Bath Towels with Hood, Soft and Absorbent for Girls Infant, Toddler and Kids, Large 32x32 Inches, Newborn Essential
$16.99
I purchased this

Angelcare Baby Bath Support (Pink) | Ideal for Babies Less than 6 Months Old
$14.99
I purchased this


Nursery & Decor

Lambs & Ivy Disney Princesses Baby Blanket - Ariel,Snow White,Cinderella,& More
$29.99
I purchased this

XiDi Dream Star Blackout Curtains for Kids Rooms Girl Princess Curtain for Daughter Bedroom Window (Pink Purple Green, W52 X L84)
$23.99
I purchased this

XUANGUO Cotton Rope Laundry Basket Hamper for Clothes Woven Storage Basket for Living Room Bedroom Boho Tall Rope Baskets for Blanket Toys Pillow Towels Baby Nursery Hamper Bin Large light pink
$33.87
I purchased this

Disney Princesses Wall Decals
$13.99
I purchased this

Disney Princess Glow Peel and Stick Wall Decals by RoomMates, RMK1903SCS
$11.12
I purchased this

OSCHF 12-Cube Storage Shelf Bookcase - Wooden 3-Tier Floor Standing Open Bookshelf for Home and Office, Display Cabinet, Warm White
$149.90
I purchased this

Sorbus Storage Cubes - 11 Inch Foldable Fabric Baskets for Organizing Pantry, Closet, Shelf, Toy Box, Cubby - 6 Collapsible Cloth Cube Storage Bins for Home, Nursery, Playroom, Bedroom (Pastel Pink)
$29.99
I purchased this

Lifewit 2 Pack Laundry Hamper Large Collapsible Laundry Baskets, Freestanding Waterproof Clothes Hamper with Easy Carry Handles in Laundry Room Bedroom Bathroom College Dorm for Adults, Pink, 2 x 80L
$16.99
I purchased this
Clothing

Demi's Dusty Purple Floral Ruffle Zipper Footie
$36.00
I purchased this

Simple Joys by Carter's baby-girls 3-pack Snap-up Rompers
$21.50
I purchased this

Disney Baby-Girls Minnie Mouse Rock The Dots Dresses (Pack of 2)
$26.99
I purchased this

RATIVE Baby Mittens No Scratch Organic Cotton for Newborn 0-6 Months | Baby Essentials Must-Haves for Boys & Girls
$9.99
I purchased this

Burt's Bees Baby Unisex Booties Organic Cotton Newborn Essentials Shoes for Infants
$8.00
I purchased this

Disney Baby Girls 2 Pack Rompers Newborn to Infant Sizes (Newborn - 24 Months)
$22.99
I purchased this

Disney Baby Girls 2 Pack Rompers Newborn to Infant Sizes (Newborn - 24 Months)
$23.99
I purchased this

Disney Pixar Toy Story Lion King Minnie Mouse Baby Girls Bodysuit Pants and Headband 3 Piece Outfit Set Newborn to Infant
$19.49
I purchased this

Disney Princess Ariel Belle Moana Mickey Minnie Baby Organic Cotton Footie Zipper Pajamas Newborn Infant Romper
$19.99
I purchased this

Disney Princess Ariel Belle Moana Mickey Minnie Baby Organic Cotton Footie Zipper Pajamas Newborn Infant Romper
$26.99
I purchased this

Disney Princess Ariel Belle Moana Mickey Minnie Baby Organic Cotton Footie Zipper Pajamas Newborn Infant Romper
$26.99
I purchased this

Disney Minnie Mouse Baby Girls Hoodie and Pants 2 Piece Set for Newborn and Infant
$22.99
I purchased this

Disney Classics The Aristocats Lion King Winnie the Pooh Pixar Toy Story Baby Girls 5 Pack Bodysuits Newborn to Infant
$31.49
I purchased this

Disney Baby-Girls Minnie Mouse Rock The Dots Dresses (Pack of 2)
$19.96
I purchased this

Disney Princess Ariel Cinderella Aurora Baby Girls Bodysuits and Headband Newborn to Infant
$29.99
I purchased this

Disney Princess Ariel Cinderella Aurora Baby Girls Bodysuits and Headband Newborn to Infant
$29.99
I purchased this

Fullfamous Baby Girl Ruffled Jumpsuit and Headband Set
$14.99
I purchased this

Hevemexy Newborn Girl Clothes Daddy's Princess Romper Floral Bowtie Shorts Headband 3PCS Baby Girl Outfits
$14.99
I purchased this

Disney Minnie Mouse Fabulous 5 Pack Girls Bodysuits for Newborns Babys and Infants
$27.99
I purchased this

Disney Minnie Mouse Fabulous 5 Pack Girls Bodysuits for Newborns Babys and Infants
$29.99
I purchased this

Unordinary Toddler Big Brother Little Sister Outfits brother sister Sibling Matching Baby Newborn Girl Set
$25.95
I purchased this

Tsnbre Baby Girl Clothes Fall Little Sister Newborn Outfit Striped Ribbed Knit Romper Long Sleeve Jumpsuit with Headband
$14.92
I purchased this

Disney Baby Girls 2 Pack Rompers Newborn to Infant Sizes (Newborn - 24 Months)
$23.99
I purchased this

JunNeng Baby Girl Viscose from Bamboo Sleeper with Mitten Cuffs, 2 Way Zipper Romper, Sleep N' Play Pajamas 0-18 Months
$28.99
I purchased this

Little Sleepies Ruffle Zippy, Newborn Pajamas, Viscose from Bamboo Baby Pajamas, Girls Preemie Newborn Sleepers, 2-Way Zipper
$38.00
I purchased this

Little Sleepies Ruffle Zippy, Newborn Pajamas, Viscose from Bamboo Baby Pajamas, Girls Preemie Newborn Sleepers, 2-Way Zipper
$38.00
I purchased this

Little Sleepies Pajamas for Baby Boys & Girls, Viscose from Bamboo Baby Pajamas, Preemie & Newborn Sleepers, 2-Way Zipper PJs
$38.00
I purchased this

Little Sleepies Pajamas for Baby Boys & Girls, Viscose from Bamboo Baby Pajamas, Preemie & Newborn Sleepers, 2-Way Zipper PJs
$38.00
I purchased this

Disney Mickey Mouse Minnie Mouse Lion King Simba Fleece Zip Up Hoodie Newborn to Toddler
$24.99
I purchased this

Baby Girl Sun Hat with UPF 50+ Outdoor Adjustable Toddler Beach Hat with Wide Brim Bucket Hats for Kids
$9.97
I purchased this

Little Sleepies Pajamas for Baby Boys & Girls, Viscose from Bamboo Baby Pajamas, Preemie & Newborn Sleepers, 2-Way Zipper PJs
$38.00
I purchased this

Little Sleepies Pajamas for Baby Boys & Girls, Viscose from Bamboo Baby Pajamas, Preemie & Newborn Sleepers, 2-Way Zipper PJs
$38.00
I purchased this

Little Sleepies Pajamas for Baby Boys & Girls, Viscose from Bamboo Baby Pajamas, Preemie & Newborn Sleepers, 2-Way Zipper PJs
$38.00
I purchased this

Little Sleepies Pajamas for Baby Boys & Girls, Viscose from Bamboo Baby Pajamas, Preemie & Newborn Sleepers, 2-Way Zipper PJs
$38.00
I purchased this

Little Sleepies Pajamas for Baby Boys & Girls, Viscose from Bamboo Baby Pajamas, Preemie & Newborn Sleepers, 2-Way Zipper PJs
$38.00
I purchased this

Dressy Daisy Princess Onesie Romper Fancy Dress Costume Halloween Birthday Bodysuit Outfit with Headband for Infant Baby Girl
$22.99
I purchased this

Dressy Daisy Princess Onesie Romper Fancy Dress Costume Halloween Birthday Bodysuit Outfit with Headband for Infant Baby Girl
$23.99
I purchased this

Dressy Daisy Princess Onesie Romper Fancy Dress Costume Halloween Birthday Bodysuit Outfit with Headband for Infant Baby Girl
$22.99
I purchased this

Dressy Daisy Princess Onesie Romper Fancy Dress Costume Halloween Birthday Bodysuit Outfit with Headband for Infant Baby Girl
$25.00
I purchased this

Dressy Daisy Princess Onesie Romper Fancy Dress Costume Halloween Birthday Bodysuit Outfit with Headband for Infant Baby Girl
$22.99
I purchased this

BBGifts 3PCS Baby Girl Mouse Ears Headbands with Sequin Bow, 4.5inches Wide Nylon Turban Hairband, Theme Park Headwear, Hair Bow Headband for Toddler, Kids, Party Supplies
$9.99
I purchased this

Brisco Brands Daddy's Princess Dark Galaxy Baby Bodysuit Jumper Girls
$14.99
I purchased this

Disney Minnie Mouse Baby Girls Bodysuit Pants Bib and Hat 4 Piece Outfit Set Newborn to Infant
$26.49
I purchased this

Disney Baby Girls 2 Pack Zip Up Sleep N' Plays Newborn to Infant Sizes (Newborn - 24 Months)
$25.99
I purchased this

Simple Joys by Carter's Baby Hooded Sweater Jacket with Sherpa Lining
$18.00
I purchased this

Newborn Baby Girl Ruffle Footie Romper Fall Winter Spring Coming Home Outfit One-piece Knit Jumpsuit with Bow Headband
$9.99
I purchased this

BSaogr Newborn Baby Girl Shorts Set Little Cutie Outfits Strawberry/Orange Short Sleeve Romper Frill Trim Shorts Headband
$14.99
I purchased this

Baby Girl Wide Brim Bucket Hats with UPF 50+ Outdoor Adjustable Beach Hat with Sun Hat
$13.97
I purchased this

EPEIUS Baby Tights Baby Girls Non-Slip Plain/Ribbed Leggings Seamless Cotton Stockings Pantyhose Newborn Infant Toddler
$17.99
I purchased this

Hudson Baby Unisex-Baby Cozy Fleece BootiesSlipper Sock
$9.98
I purchased this

STAR WARS Baby Yoda Newborn Baby Girl Long Sleeve Bodysuit with Tutu and Headband
$18.99
I purchased this

Brisco Brands Daddy's Princess Dark Galaxy Baby Bodysuit Jumper Girls
$14.99
I purchased this

Harry Potter baby-girls Modern
$25.99
I purchased this

Harry Potter Baby Girls Clothing 3-Piece Set with Bodysuit, Leggings, and Headband Gifts for Baby Girls
$18.99
I purchased this

Harry Potter Baby Girls 5 Pack Bodysuits Newborn to Infant Sizes (Newborn - 24 Months)
$29.99
I purchased this

YWFSHOP Baby Girl Clothes Outfits Ruffle Sleeve Shirt Top and Pants Toddler 3 Piece Set Fall Winter
$14.99
I purchased this

YWFSHOP Baby Girl Clothes Outfits Ruffle Sleeve Shirt Top and Pants Toddler 3 Piece Set Fall Winter
$16.99
I purchased this

Onesies Brand Baby Girls' 3-Pack Rompers, Purple Floral, 3-6 Months
$23.95
I purchased this

Onesies Brand Girls' 3-Pack Short Sleeve Rompers - Floral Fox - 3-6 Months
$23.95
I purchased this

Baby Girls' 2pc Disney Minnie Mouse Long Sleeve Bodysuit & Chambray Dress Set - Light Blue/Pink 6-9M
$16.00
I purchased this

Mickey Mouse & Friends Minnie Mouse Newborn Baby Girls French Terry Short Overalls T-Shirt and Hat 3 Piece Outfit Set Pink 0-3 Months
$28.99
I purchased this

YWFSHOP Baby Girl Clothes Outfits Ruffle Sleeve Shirt Top and Pants Toddler 3 Piece Set Fall Winter
$5.99
I purchased this

Carter's Just One You®️ Baby 2pc Little Sister Top & Bottom Set - 6M: Cotton Bodysuit with Crotch Snap, Pull-On Pants
$7.00
I purchased this

Hudson Baby Infant Girl Cotton Bodysuits, Citrus Mint, 3-6 Months
$20.99
I purchased this

Hudson Baby Infant Girl Cotton Bodysuits, Soft Painted Floral 5-Pack, Preemie
$18.99
I purchased this

YWFSHOP Baby Girl Clothes Outfits Ruffle Sleeve Shirt Top and Pants Toddler 3 Piece Set Fall Winter
$9.99
I purchased this

Disney Princess Ariel Cinderella Baby Girl Ruffled Sleeves Character Print Jumpsuit/Romper
I purchased this

Kucnuzki Baby Girl Clothes Toddler Girl Outfit Ruffle Sleeve Shirt Floral Pant Set Fall Winter Clothing for Girl
$24.99
I purchased this

KAFIREN Baby Girl Clothes Fall Winter Outfit Plaid Romper Long Sleeve Dress Lace Ruffles Bodysuit with Bow Headband
$14.95
I purchased this

Onesies Brand baby-girls 3-pack Romper
$23.95
I purchased this

GDTOGRT Baby Girl Clothes Newborn Infant Outfits Ruffle Romper+ Floral Pants + Cute Headband Sets for Girls
$26.95
I purchased this

GDTOGRT Baby Girl Clothes Newborn Infant Outfits Ruffle Romper+ Floral Pants + Cute Headband Sets for Girls
$19.95
I purchased this

EPEIUS Baby Girl Tights Thick Cable Knit Leggings Stockings Cotton Pantyhose for Newborn Infant Toddler 3/4/5/6 Pack
$22.09
I purchased this
Playing

Fisher-Price Baby Playmat Glow and Grow Kick & Play Piano Gym, Blue Musical Learning Toy with Developmental Activities for Newborns 0+ Months
$59.99
I purchased this

Bright Starts Disney Baby Minnie Mouse Baby Bouncer Soothing Vibrations Plush Infant Seat - Removable Toy Bar, Nonslip Feet, 0-6 Months Up to 20 lbs (Spotty Dotty)
$38.84
I purchased this

2 in 1 Baby Tummy Time Mat & Support Seated Pillow Infant Newborn Toys 0 1 2 3 4 5 6 Months Pink Caterpillar Sensory Developmental Playmat 0-6 3-6 12 Month Babies Mirror Shower Gifts for Girls Boys
$35.99
I purchased this

Bright Starts Disney Baby Minnie Mouse Forever Besties Baby Activity Center Jumper with 10 Toys, Lights & Sounds, 360-Degree Seat, 6-12 Months (Pink)
$99.99
I purchased this

Frozen Disney Signature Collection Large Plush Elsa
$19.99
I purchased this

Disney Princess Signature Collection Large Plush Belle
$19.99
I purchased this

Disney Princess Signature Collection Large Plush Aurora
$19.99
I purchased this

Disney Princess Signature Collection Large Plush - Jasmine
$19.99
I purchased this

Moana Disney Signature Collection Large Plush: Polyester Stuffed Doll for Creative Thinking
$19.99
I purchased this

Ariel Disney Signature Collection Large Plush
$19.99
I purchased this

Disney Princess Signature Collection Large Plush Tiana: Creative Thinking Stuffed Doll, Polyester Material
$19.99
I purchased this

Frozen Disney Signature Collection Large Plush Anna
$19.99
I purchased this

Lambs & Ivy Disney Baby Minnie Mouse Pink Stars Security Blanket/Lovey
$16.99
I purchased this

Toniebox 2 Audio Player Disney Princess Bundle for Kids 3+ with Ariel, Moana, Merida, and Belle - Cloud Pink
$199.96
I purchased this

Disney Store Official Minnie Mouse Plush - Pink Dress – Large 21 1/4 Inches Disney Stuffed Animals, Soft & Cuddly Toy, Plushies for Kids & Fans, Suitable for All Ages
$25.98
I purchased this

KIDS PREFERRED Disney Baby Minnie Mouse Plush Stuffed Animal Snuggler Lovey Security Blanket - Pink,13.18" x 13.18" x 3.62"
$18.99
I purchased this

Bright Starts Oball Rattle Easy-Grasp Toy - Pink, Ages Newborn - 1 Count (Pack of 1)
$5.99
I purchased this

Jyusmile Baby Toys 6-12 Months, Montessori Toy for Babies 6-12 Months, Incl Stacking Building Blocks & Soft Infant Teething Toys & Sensory Balls for Toddlers 0-3-6-9-12 Month
$19.99
I purchased this

My First Minnie Mouse Bedtime Storybook (My First Bedtime Storybook)
$7.98
I purchased this

Disney Princess My First Bedtime Storybook
$7.77
I purchased this

Ultimate Princess Boxed Set of 12 Little Golden Books (Disney Princess)
$59.88
I purchased this

Disney Baby 11-inch Hide-and-Seek Minnie Mouse Interactive Plush, Music, Phrases, And Motion, Kids Toys for Ages 09 Month by Just Play
$24.99
I purchased this

Dear Little Princess: My Dreams for You (Disney Princess)
$8.36
I purchased this

Disney Kids Preferred Baby Princess Soft Book with Teether Toy & Crinke Pages - Picture Book for Newborns
$12.99
I purchased this
Cash & Gift Cards

Wants: Unlimited
Amazon Printable Gift Card
$25.00
I purchased this

Wants: Unlimited
3 Cute Animals Target GiftCard
$25.00
I purchased this

Wants: 5
Little Sleepies Digital Gift Card - 35
$35.00
I purchased this
Purchased

Purchased
Lambs & Ivy (LAMCR) Disney Princesses Nursery Baby Crib Bedding Set, Pink, 3 Count

Purchased
Disney Princesses Lamp,Resin with Shade & Bulb

Purchased
A Dream is a Wish Your Heart Makes Dandelion - Pure Black Vinyl Carved Wall Decal Without Transparent Edge Removable Art Letters Inspirational Quotes Decor for Home Study Kids Room

Purchased
XiDi Dream Star Blackout Curtains for Kids Rooms Girl Princess Curtain for Daughter Bedroom Window (Pink Purple Green, W52 X L84)
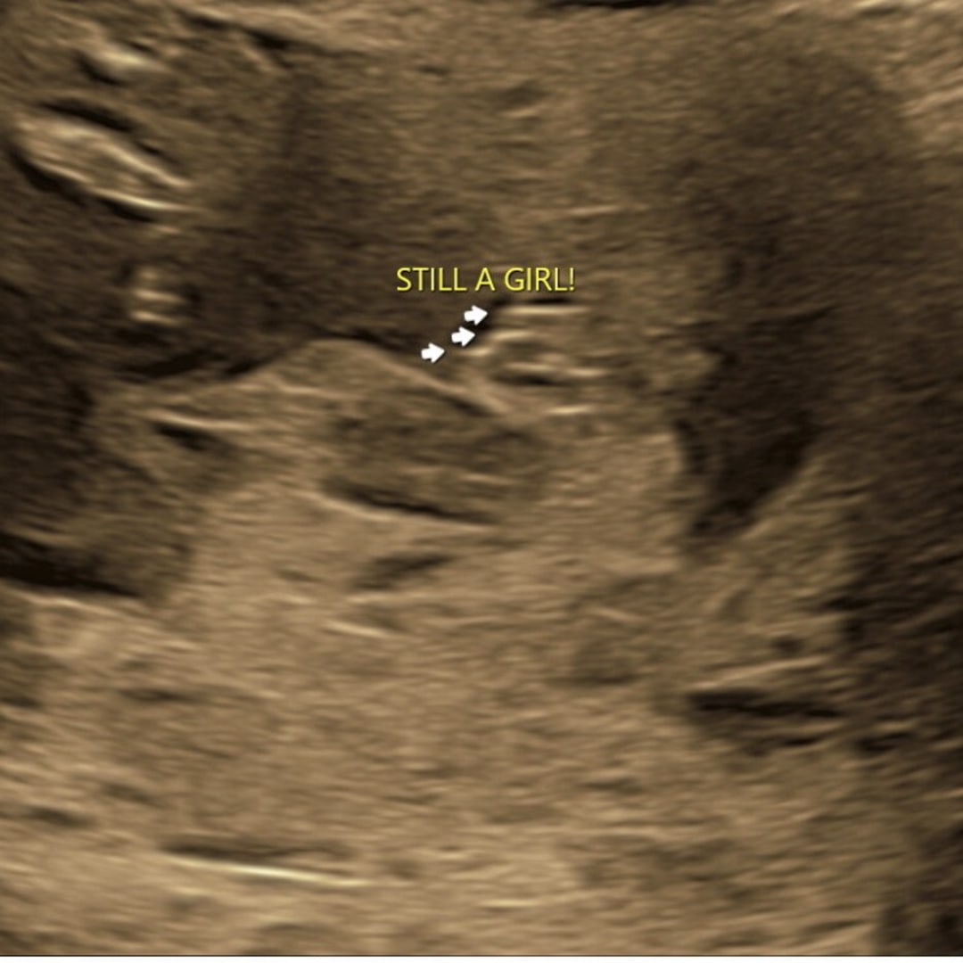
Anatomy Scan Ultrasound


